La nostra tecnologia dedicata ai nostri amici animali
L’esperienza maturata in medicina con l’applicazione della Tecarterapia ha contribuito a sviluppare la ricerca e la sperimentazione per l’utilizzo delle apparecchiature anche nel campo della riabilitazione e fisioterapia del settore veterinario.
La Diatermia stimola l’energia dall’interno dei tessuti per attivare i naturali processi rigenerativi.
Nel settore della veterinaria è una terapia innovativa che ha permesso in poco tempo di ottenere importanti risultati su un gran numero di animali, dai piccoli animali ai cavalli. L’uso costante degli strumenti sui nostri amici animali ha infatti dimostrato una notevole stimolazione dei processi rigenerativi e una riduzione dei tempi di recupero nel trattamento di: osteoartrite osteoartrosi, contratture muscolari, tendinopatie, edema infiammatorio, ematomi e contusioni, punti trigger.
Alcuni studi clinici sull’efficacia dei dispositivi dVet nel settore della Veterinaria
- Weimaraner, maschio, 3 anni e mezzo.
- Campione riproduttore
- cane da caccia
- no HD
- 28/06 ecografia = lesione muscolare di 3° grado
- nonostante il riposo dopo 3 settimane ancora zoppia alla zampa posteriore sinistra.

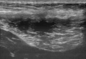
Mentre nel sano si evidenziano le fibre muscolari ipoecogene frammiste al perimisio ecogeno, nel malato si vede l’area anecogena, un vero e proprio buco: le miofibrille sono strappate. Attorno all’area anecogena un alone iperecogeno, rappresenta l’infiammazione. È presente anche una notevole atrofia muscolare.
Visita fisiatrica 1/07
• zoppia 1 PS al passo ed in stazione, arto leggermente spostato lat
• < tempo appoggio PS
• area lesione palpabile, si percepisce un “buco” nel mm gracile
• circonferenza coscia sn 48 cm
• circonferenza coscia dx 49.5 cm
• buoni ROM
Fisioterapia:
• prevenire / limitare la fibrosi muscolare
• < infiammazione e < dolore
• Diatermia al 50%
• massaggio, es PROM / stretching
• UWTM 2.0 Km/h per 10 – 20 minuti
Controllo ecografico 11/08
• lesioni compatibili con strappo parziale del muscolo gracile
• rispetto a precedente eco lesione ridotta, 1/3 spessore musc vs 90%
• nessun segno di fibrosi
• Controllo fisiatrico musc dx 52 cm, sn 51.5 cm
Controllo ecografico 18/10
• lesioni compatibili con strappo parziale del muscolo gracile
• rispetto a precedente controllo la lesione è stabile come dimensioni
• non evidenti fenomeni fibrotici e no segni di infiammazione acuta
- Trattamenti dal 4/07 al 23/11/2011
• 25 sedute totali
• nel mese di luglio 2 trattamenti /settimana
• dal 16/08 1 trattamento / settimana
Gracile destro, spessore 1.98 cm

SPESSORE 1,98
Gracile sinistro, spessore 1.60 cm

SPESSORE 1,60
Persiste area povera di fibre muscolari.
Nel complesso muscolo lievemente atrofico ma non presenti segni di infiammazione o di sclerosi.
Ottima risoluzione per uno strappo muscolare, in genere non si ha la restitutio ad integrum ecograficamente.
- Pastore Tedesco, maschio, 4.5 anni
• utilità e difesa (3° europeo)
• da maggio zoppia dopo il lavoro
• cicli FANS + riposo, ma appena riprende lavoro ritorna zoppia
• ecografia 19/09
• visita fisiatrica 20/09
• 29/10 Campionato Italiano

Visita Fisiatrica
• zoppia in stazione 0
• zoppia al passo 1, AD lieve abduzione
• test bicipite = > freq respiratoria
• buoni ROM ant e post (esente HD – ED)
Fisioterapia:
• < infiammazione e < dolore
• miglior massa muscolare, endurance
• US 3.3. MHz puls
• diatermia 50%
• esercizi PROM / stretching
• UWTM 1.9 Km/h per 10 – 20 minuti

trattamenti dal 26/09 al 17/10
- 9 trattamenti totali
- ripresa subito attività agonistica intensa
- warm up & cool down
- 28/10 Championato Italiano = 8°
- mai più zoppicato
- Labrador Retriever, Maschio, 7 anni
• grave HD (peggiore sul lato destro)
• cronica parziale rottura del CrCL sn = grave OA
• artroscopia = parziale meniscectomia
• 41.6 Kg, BCS 6/9
• problema: proprietaria anziana e vivono al 3° piano senza ascensore

Fisioterapia:
- NO DOLORE, < infiammazione
- > ROM, > massa muscolare
- ricoverato dal 4 al 25 Agosto
- 4 passeggiate al giorno
- Diatermia + es PROM + UWTM – BID
- dieta: Hill’s j/d Restricted

• più contento, vuole giocare e correre
• vuole andare in passeggiata e lo dimostra
• urina su 3 zampe (2 anni che non lo faceva)
• miglior ROM articolare
