La nostra tecnologia dedicata ai fisioterapisti
La Diatermia è un metodo terapeutico che utilizza campi elettromagnetici ad alta frequenza per riattivare i normali processi riparativi ed antinfiammatori, stimolando energia dall’interno dei tessuti biologici.
La generazione di energia endogena all’interno dei tessuti avviene attraverso il richiamo di cariche elettriche nell’area trattata, presenti sotto forma di ioni.
Grazie a questo principio, viene generata una fortissima stimolazione a livello cellulare che incrementa la temperatura interna e riattiva la circolazione, innescando quindi, i naturali processi riparativi.
Queste caratteristiche hanno dato risultati clinici estremamente soddisfacenti nel campo della fisioterapia e traumatologia.
Alcuni studi clinici sull’efficacia dei dispositivi dVinci nel settore della Fisioterapia
Le ecografie rappresentano la situazione al momento del trauma e dopo quattro sedute con dVinci, utilizzando la placca attiva automatica.
Le sedute, con frequenza bisettimanale per una durata di 30 minuti ciascuna, sono state effettuate solo ed esclusivamente con gli elettrodi capacitivi automatici con frequenza di 1 MHz.
MODALITA’OPERATIVA: Placca attiva sulla sede di lesione, placca neutra in opposizione, potenza 25% della disponibilità.
Temperatura percepita dal paziente: tepore gradevole durante tutta la seduta.

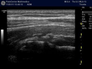
28.12.2010
In corrispondenza del terzo prossimale del muscolo retto femorale di destra si osserva area anecogena a margini netti che misura 44,3 mm. in scansione longitudinale.
Quadro compatibile con versamento, verosimilmente ematico, secondario a trauma contusivo diretto.

11.01.2011
In corrispondenza del terzo prossimale del muscolo retto femorale di destra si osserva completa risoluzione del versamento precedentemente riscontrato.
Si consiglia ripresa sportiva graduale (idrokinesiterapia, esercizi isometrici e poi training concentrico/eccentrico).
La risonanza magnetica mostra l’effetto ottenuto dopo un mese di trattamenti, per un totale di dodici sessioni, utilizzando protocolli di lavoro con piastre capacitive automatiche ed elettrodo resistivo, alla frequenza di 1MHz.
Risonanza magnetica prima del trattamento

Risonanza magnetica dopo il trattamento

Il paziente è stato trattato con dVinci utilizzando l’elettrodo manuale resistivo, a bassa potenza e con una frequenza di 1 MHz, per 15 minuti e a seguire con l’elettrodo manuale capacitivo per ulteriori 15 minuti.
Le sedute, di 30 minuti ciascuna, si sono effettuate due volte a settimana.
Temperatura percepita dal paziente: tepore gradevole durante tutta la seduta.

Prima immagine ecografica 04/03/2010
L’ecografia del polpaccio mediale destro, zona dolorante, mostra una piccola area ipoecogena accanto al muscolo, estesa per circa 8 mm, nella parte interna, forse dovuta ad una lesione muscolare locale. Inoltre, è possibile vedere una leggera area ipoecogena posta nella zona inferiore del muscolo, vicino alla fascia muscolare, forse sangue fluido.

UItima immagine ecografica 02/04/2010
C’è ancora una piccola area ipoecogena del polpaccio mediale sinistro, grande circa 2 mm, che mostra anche un consolidamento delle fibre, senza apprezzabile falda liquida intra o peri lesionale.
Paziente maschio, con lesione distrattiva muscolare, sottoposto a sei trattamenti con CIM utilizzando la placca automatica capacitiva. Le sedute, sei in totale, con frequenza bisettimanale, per una durata di 30 minuti ciascuna, sono state effettuate solo ed esclusivamente con gli elettrodi capacitivi automatici con frequenza di 1 MHz.
MODALITA’OPERATIVA: Placca attiva sulla sede di lesione, placca neutra in opposizione, potenza 25% della disponibilità.
Temperatura percepita dal paziente: tepore gradevole durante tutta la seduta.

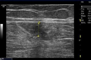
22.11.2011
In corrispondenza del terzo medio del muscolo retto femorale di sinistra si osserva area ipoecogena che misura in scansione trasversale mm.6,2.
In longitudinale si osserva distorsione dell’ecostruttura miofibrillare di medio grado.
Quadro compatibile con lesione muscolare distrattiva di 2° grado.

16.12.2011
In corrispondenza della zona precedentemente osservata si osserva la scomparsa del versamento e una completa ricomposizione dell’ecostruttura miofibrillare. Quadro compatibile con esiti di pregressa lesione muscolare distrattiva ormai stabilizzata.
Può iniziare attività sportiva (training differenziato).
